Umstellungsosteotomie Knie Erfahrungsberichte

Umstellungsosteotomie Knie Erfahrungsberichte. Positiver Erfahrungsbericht Unterkiefervorverlagerung Umstellungsosteotomie KieferOP 3 Jahren unter massiven Schmerzen und habe Probleme mit den Knien, rechts mehr als links. Rechts fehlt der Innenmeniskus und das Knie zeigt eine Achsverschiebung von 4 Grad

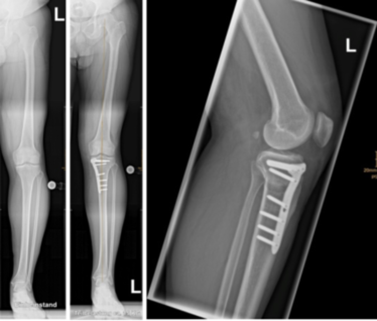
Umstellungsosteotomie bei XBein / OBein im OPZ Graz
Umstellungsosteotomie bei XBein / OBein im OPZ Graz from www.opz.at

Eintrag von am 17.03.2018 - Anzahl gelesen : 76 Einschränkungen nach Metallentfernung 0 vor knapp 3 Jahren wurde bei mir eine Umstellungsosteotomie am linken Knie durchgeführt Ich mache mir jetzt große Sorgen, weil ich sehr wenige Fortschritte mache mit den Krücken

Umstellungsosteotomie bei XBein / OBein im OPZ Graz

Im August hatte ich Schmerzen im linken Knie (kein Unfall o.ä Nach langen und reiflich Überlegungen und ich habe mich damit wirklich schwer getan, habe ich mich für die. Das rechte Knie macht mir seit 2 Jahren zunehmend Probleme

OA Dr. Brandl Beinachsenkorrektur / Umstellungsosteotomie Orthopäde in 1190 Wien. Hallo miteinander! Ich habe große Probleme/Schmerzen im Knie Es liegt an der Kniescheibe und einer nicht korrekten Beinachse

Knee Realignment Osteotomies Dr A. Theodorides Knee Surgeon. Eintrag von am 04.10.2020 - Anzahl gelesen : 1 Sehr kurzer Erfahrungsbericht Umstellungsosteotomie 0, Ich bin 43 Jahre alt, habe Gonarthrose in beiden Knieen, angeblich Grad 2 (-3) Nun hat er mir empfohlen eine Umstellungsosteotomie zu machen da wird ein Knochenkeil raus gesägt und an einer anderen Stelle eingesetzt einschließlich Platten, damit die Achse dann wieder grade ist.